Клиники Врачи Цены Отзывы Скидки Статьи Консультации Имплантация зубов в Москве Стоматологам →
Комплексное продвижение стоматологии

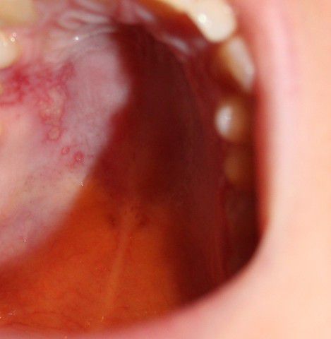
болит нёбо

← Вернуться к списку тем



Вопрос №4214

marina

на нёбе какое-то красное раздражение, болит как расцарапанный ожег. была температура, болит правая гланда и появилась простуда на губе. это все как-то связано?? что это и как это лечить?

 



Похожие вопросы



Вопрос №913

Болит нёбо под языком, сводит челюсть

Здравствуйте! После небольшой операции у хирурга принимала кетанов, когда ходила на перевязку. На 3 день начало болеть нёбо под языком, принимала кетанов для снятия боли на про…

 


Вопрос №2087

Болит нёбо

На нёбе случайно нащупала, более выпуклую бороздку нежели все ближе к горлу, при нажатии болит...Что такое не знаю...

 


Вопрос №2963

Боль всех зубов!!!

Добрый вечер! Сегодня проснулся с болью все зубов!! Такое ощущение, что грыз железо!! Чувствую каждый зуб!! И болит верхнее небо!! Что это может быть?? Что делать!! Спасибо!!

 


Вопрос №3688

На передний зуб поставили пломбу, болит небо.

Здравствуйте, мне вчера поставили пломбу и покрыли эмалью передний зуб, нерв не трогали, но кариес был глубоким. Снимок не делали, теперь у меня болит нёбо, боль не постоянная…

 


Вопрос №3876

Болит мягкое нёбо

Здравствуйте, у меня 2 дня назад заболела область в месте соединения верхней и нижней челюстей с правой стороны. Скорее ближе к верхней челюсти, потом пошло красное пятно на в…

 


Вопрос №7895

Опухло прaвоe нёбо

Вчeрa ввeрху опухло прaвоe нёбо и болит послeдний зуб,зa зубом тaкжe опухлa дeснa,что это можeт быть и чeм лучшe полоскaть?зaрaнеe спaсибо

 


Вопрос №17654

припухло небо за клыком

Здравствуйте.Подскажите пожалуйста.что у меня такое.Полгода назад над зубом .(четверка) ,на верхней челюсти справа был флюс. лечили, поставили пломбу. потом выяснилось, что зуб…

 


Избранные
клиники
в Москве
Старопетровский проезд, 12к4
Москва, Зеленый просп., д. 48, корп. 3